Безболезненное лечение кариеса:
- используем анестезию последнего поколения и работаем с максимальной аккуратностью
Лечение каналов под микроскопом:
- высокоточное лечение пульпитов и периодонтитов, позволяющее сохранить даже самые сложные зубы.
Эстетические реставрации:
- восстановление анатомической формы и естественного цвета зуба
Удаление зубов любой сложности:
- включая ретинированные (непрорезавшиеся) зубы мудрости.
Имплантация "под ключ"
Ортопедия (Протезирование):
- красота и функциональность
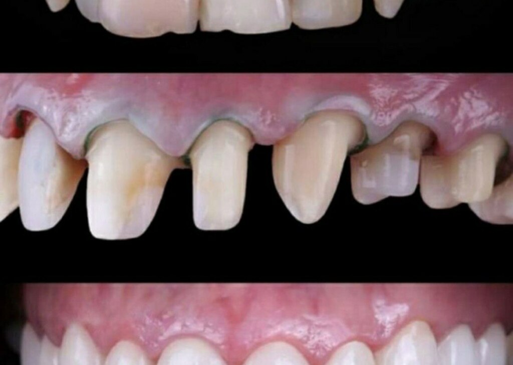
Коронки и мосты из циркония и керамики:
- максимально естественный внешний вид и долговечность.
Виниры и люминиры:
- идеальная улыбка всего за несколько посещений. Коррекция цвета, формы и положения зубов.
Все виды протезирования:
- от съемных бюгельных протезов до сложных несъемных конструкций
Ортодонтия:
- идеальный прикус в любом возрасте
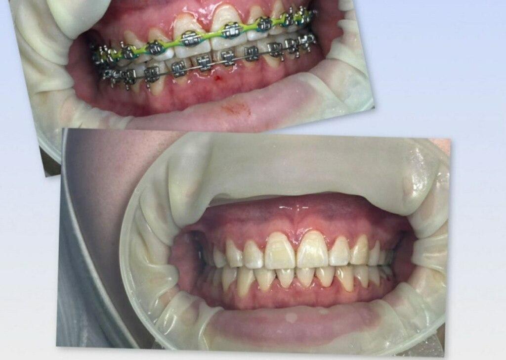
Брекет-системы:
- металлические, керамические, лингвальные (невидимые снаружи) – подберем вариант для вас.
Элайнеры (прозрачные каппы): Комфортная и эстетичная альтернатива брекетам.
Профессиональная гигиена и отбеливание:
- сияющая улыбка
Комплексная чистка зубов: Ультразвук + полировка. Удаление налета и зубного камня.
Профессиональное отбеливание: Безопасные и эффективные системы для осветления эмали на несколько тонов
наш адрес:
метро МАРЬИНО 2-ой выход (2-мин пешком от метро )
ул НОВОЧЕРКАССКИЙ БУЛЬВАР д 51
наши контакты:
+7 905 752 42 84
+7 925 063 63 80 wa
